27 января, 13:04
ОбществоПодмосковные врачи удалили подростку опухоль размером 9 см в ноге

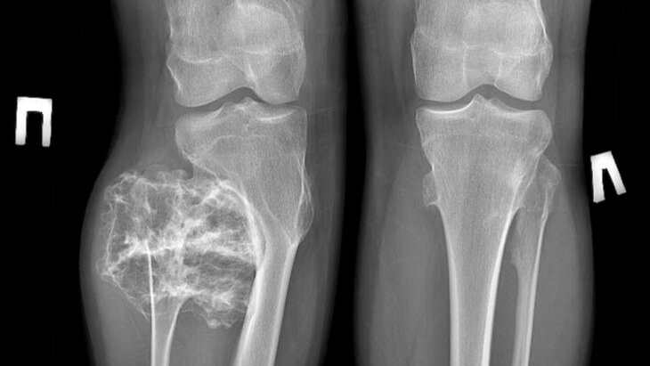
Фото: mz.mosreg.ru
Врачи Московской областной детской клинической травматолого-ортопедической больницы удалили 15-летнему подростку опухоль в ноге размером 9 сантиметров, сообщает телеканал "360" со ссылкой на пресс-службу министерства здравоохранения Подмосковья.
У подростка выявили твердое новообразование в области малоберцовой кости. Обследование показало, что это остеохондрома – образование, покрытое хрящевой "шапочкой", которое часто возникает в детском и подростковом возрасте.
Как пояснил травматолог Сергей Хохлов, подобные опухоли нередко выявляют случайно из-за отсутствия боли и дискомфорта.
"К сожалению, у данного заболевания не бывает обратного развития и единственный метод лечения – хирургический. В ходе операции мы успешно удалили опухолевидное образование в пределах здоровой костной ткани", – поделился врач.
Пациента уже выписали домой для дальнейшего амбулаторного наблюдения. Хирургам удалось сохранить полную функцию ноги. Ожидается, что через три недели подросток сможет вернуться к обычному образу жизни.
Ранее сообщалось, что врачи в Москве спасли пациентку на 23-й неделе беременности, поступившую с опухолью паращитовидной железы и сепсисом. Женщине провели паратиреоидэктомию, в ходе которой удалили пораженную железу. Спустя время она стала мамой. У пациентки родился здоровый ребенок весом 2 860 граммов и ростом 45 сантиметров.
Московские врачи избавили годовалую девочку от редчайшего образования в полости рта








Сергей Собянин поблагодарил московскую полицию за обеспечение правопорядка



























