04 декабря 2024, 09:03
ОбществоМосковские врачи спасли трехлетнюю девочку с огромной раковой опухолью

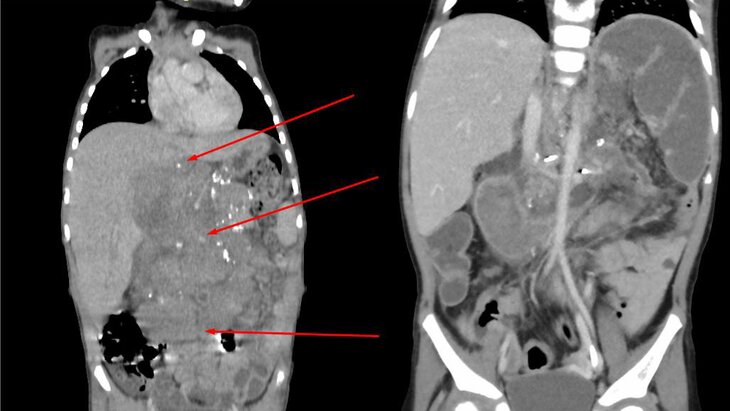
Фото: телеграм-канал "Российская детская клиническая больница"
Врачи Российской детской клинической больницы (РДКБ) спасли 3-летнюю девочку из Кабардино-Балкарии с огромной опухолью брюшной полости и метастазами. Об этом сообщила пресс-служба медучреждения.
В больнице рассказали, что изначально у ребенка резко выросла до 38 градусов температура, а также появилась тошнота и рвота. Кроме того, она чувствовала слабость и отказывалась от еды. В результате врачи в Кабардино-Балкарии выявили у девочки опухоль в области от диафрагмы до малого таза. Новообразование размером 12х13х15 сантиметров сдавливало желудок и кишечник.
В связи с этим для уточнения диагноза и комплексного лечения девочку направили в онкологическое отделение хирургических методов лечения РДКБ. Во время обследования у ребенка обнаружили нейробластому забрюшинного пространства в четвертой стадии с метастазами в костный мозг и лимфоузлы.
Ребенку сделали около шести курсов химиотерапии, чтобы медики собрали ее стволовые клетки для последующей пересадки. Уже после этого врачи приступили к 14-часовой операции по удалению новообразования. На данный момент хирургам удалось устранить свыше 95% от объема всей опухоли.
"Резекция оставшейся части образования несла огромные риски повреждения и потери органов", – уточнил завотделением РДКБ Иван Скапенков.
Он также рассказал, что опухоль находилась перед позвоночником и окружила аорту с другими жизненно важными сосудами брюшной полости. Именно поэтому, как утверждает Скапенков, операция проводилась с особой осторожностью.
Сейчас врачам удалось замедлить развитие болезни. Ребенок при этом продолжает наблюдаться в медучреждении. Теперь девочке нужно будет пройти лучевую и иммунную терапию, с помощью которой ее иммунитет сможет бороться с опухолью.
Ранее врачи медцентра Рошаля спасли двухгодовалого мальчика со скоплением лимфы на шее. Ребенок поступил в медцентр с асимметрией лица и шеи. В ходе обследования у него выявили доброкачественную опухоль, при которой сдавливается яремная вена и сонная артерия. Из-за этого у мальчика нарушился отток лимфы в области головы и шеи.
Врачи больницы имени Буянова спасли пациента с аутоиммунным энцефалитом








Собянин: художественная подсветка в этом году украсит около 100 объектов




























