13:22
ОбществоПодмосковные врачи спасли девушку, проглотившую швейную иглу

Фото: mz.mosreg.ru
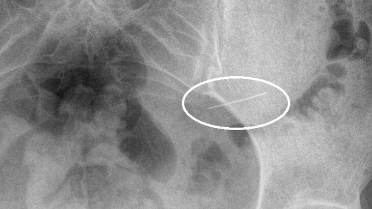
Врачи Красногорской больницы спасли девушку, которая случайно проглотила швейную иглу. Об этом сообщает пресс-служба подмосковного Минздрава.
Девушка обратилась за медпомощью сразу после случившегося. Врачи сделали пациентке рентген, благодаря которому было установлено, что игла находится в желудке. В результате инородный предмет был вытащен с помощью эндоскопического оборудования.
По словам заведующего первым хирургическим отделением Николая Мурашова, если бы игла пролежала в желудке дольше, то в таком случае могли возникнуть осложнения, например, могла произойти перфорация стенок желудка или кишечника, кровотечение, перитонит или сепсис.
Девушку отпустили домой под амбулаторное наблюдение врача-хирурга после оказания необходимой медпомощи.
Врачи попросили не пытаться вызвать рвоту или принять какие-либо другие меры самостоятельно в случае попадания в организм инородного тела. Ведомство напомнило, что лишь врач сможет правильно оценить ситуацию и назначить нужное лечение.
Ранее врачи в Приморье нашли у женщины вросшую в руку стеклянную иглу длиной 2 миллиметра. Она оказалась в пальце пациентки после того, как в ее руке лопнул стакан с кипятком. Пострадавшая самостоятельно вытащила осколок.
Несмотря на то что рана затянулась, у пациентки спустя время возникла боль в области сустава пальца. Врачи, сделав рентген кисти в нескольких проекциях, обнаружили стеклянную иглу размером 2 на 1 миллиметр. В результате операция прошла успешно. Медики выписали женщину из стационара на долечивание в поликлинике.
Московские врачи спасли двухмесячного ребенка с крупной опухолью головного мозга








Сергей Собянин: в пасхальную ночь работа метро и МЦК будет продлена



























