03 февраля, 15:01
ГородМосковские врачи спасли выпавшего с четвертого этажа мужчину

Фото: gkbe.ru
Врачи городской клинической больницы имени А. К. Ерамишанцева спасли выпавшего с четвертого этажа мужчину. Об этом сообщила пресс-служба столичного Депздрава.
Отмечается, что 28-летний мужчина выпал из окна своей квартиры случайно. Скорую помощь вызвали прохожие.
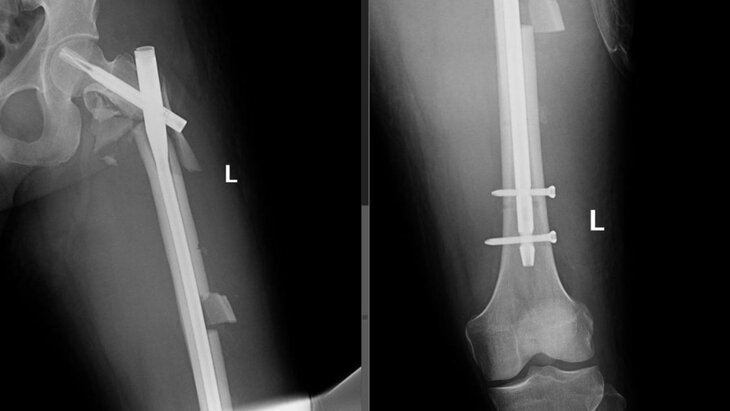
Пострадавший поступил в медучреждение с переломами позвонков, открытыми переломами ребра и костей левого предплечья, закрытыми переломами таза, левой бедренной кости с повреждением бедренной артерии, а также с другими травмами. Его предстояло прооперировать врачам разных профилей.
"Состояние было отягощено множественными диагнозами: полиорганной недостаточностью, рабдомиолизом, тромбоцитопенией, сердечной недостаточностью, жировой эмболией в нижнедолевой артерии правого легкого", – рассказали в больнице.
В результате медики смогли спасти ногу мужчины от ампутации, а также устранить последствия переломов и травм. Пациенту помогли в реабилитации и в скором времени выпишут.
Ранее врачи в Москве успешно провели операцию на сердце 80-летней пациентки через прокол в бедре. Им предстояло заменить биопротезы, установленные несколько лет назад в трикуспидальный и митральный клапаны сердца. Однако от традиционной открытой операции они отказались из-за возраста женщины.








Собянин: реконструкцию Московского ипподрома планируется завершить в этом году



























